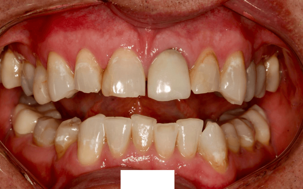
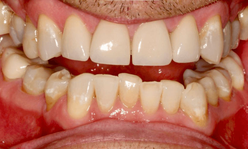
This patient presented with chipped, worn and discoloured teeth. Our dentists began with professional teeth whitening to lighten the patient's teeth before using porcelain crowns and veneers for repair. The custom porcelain restorations blend seamlessly with the patient's whitened teeth, creating a brighter smile upon completion.
Are You Living with Compromised Teeth?
Cosmetic dentistry in Newport blends aesthetics and function to improve your smile. You can learn more during a consultation with one of our dentists.

