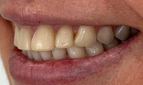
This patient was concerned about uneven tooth edges, discolouration, and minor cosmetic imperfections. Our dentists began with professional teeth whitening to create a brighter foundation, followed by gentle recontouring to smooth and shape the natural teeth. Finally, four porcelain veneers were placed to enhance symmetry and complete the smile transformation.
Thinking About a Smile Makeover?
Cosmetic dentistry in Newport, VIC can transform more than just your appearance. Schedule a consultation with our experienced dentists to discover the personalised treatments available to enhance your smile.

